İlke ve Değerlerinden Ödün Vermeden
Özgür Yayın Platformu Olarak Kalsın Diye
Öğle13:11 İkindi15:29 Akşam17:50 Yatsı19:16 İmsak06:49 Güneş08:21 İşrak09:06
Hava - Hava durumuÇok Bulutlu 8°C Nem %81
Türkçe
8 Recep 1447 28 Aralık 2025 Pazar
8 Recep 1447
İMSAK GÜNEŞ İŞRAK ÖĞLE İKİNDİ AKŞAM YATSI
06:49 08:21 09:06 13:11 15:29 17:50 19:16
Giriş Yap

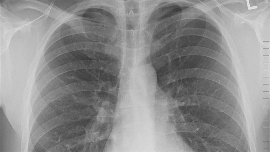
Yangın dumanına maruz kalmak sağlığı etkiliyor

05.07.2025    |

Ülke genelinde meydana gelen orman yangınları sonrası oluşan dumanın insan sağlığı üzerindeki etkilerini en aza indirmek için alınması gereken önlemler paylaşıldı.

Yapılan bilgilendirmede, yangın dumanının göz, burun, boğaz ve akciğerlerde tahrişe yol açabileceği, öksürük ve hırıltılı nefes almayı zorlaştırabileceği belirtildi. Bu süreçte sağlığı korumanın en etkili yolunun, dumanlı havada kapalı alanlarda kalmak ve dışarıda geçirilen zamanı sınırlandırmak olduğu vurgulandı.

Açıklamada, özellikle kalp veya akciğer hastalığı gibi kronik rahatsızlığı bulunan vatandaşların dumanlı havaya maruz kalmasının ciddi sağlık sorunlarına yol açabileceği uyarısı yapıldı. Bu adımın, yüksek risk grubundaki kişiler için hayati önem taşıdığının altı çizildi.

Diğer uyarılar ise şöyle:

* Orman yangını acil durumlarında, geçici olarak yer değiştirin.

* Mümkünse dumanlı alandan uzaklaşın.

* Nefes almada zorluk, göğüs ağrısı, aşırı yorgunluk veya geçmeyen belirtiler yaşanması durumunda zaman kaybetmeden 112 Acil Çağrı Merkezi'ni arayın.

­

 

 

 

 

Kabe
Canlı Yayın
Şuan Canlı Yayın
Feyzü'l Furkan Kur'an-ı Kerim Meali
AKRA CANLI
 / 
Canlı Yayın close icon
AKRA CANLI
Feyzü'l Furkan Kur'an-ı Kerim Meali
Feyzü'l Furkan Kur'an-ı Kerim Meali Add Icon volume up
 / 
Canlı Yayın
fast rewind
fast forward
Playlist
Bu özelliği kullanabilmek için üye girişi yapmanız gerekmektedir
  
Fikrini Paylaş
TAAHHÜTNAME

Hazırlamış olduğum ve sitenize gönderdiğim/ teslim ettiğim, tamamen orjinal ve bana ait olan, projemin/görüntü veya kaydımın, AKRA MEDİA tarafından kendisine ait kablolu/karasal/uydu, şifreli/şifresiz, free/paralı TV, video, DVD, VCD,VHS ,radyo, kaset, sinema ve sair mevcut yada ortaya çıkacak her türlü İşaret, ses ve /veya görüntü nakline yarayan araçlarla umuma iletim hakkı ve tüm internet siteleri ve sosyal medya platformlarında yayınlamasına, çoğaltma hakkı, yayma hakkı, işleme hakkı ve temsil hakkının kullanılmasına süresiz olarak müsaade ediyorum.

Projemin/görüntü veya kaydımın, bant, CD, VCD, DVD, GSM, MP3 Player, dijital kayıt vb. tüm yollarla kayıt, çoğaltma ve dağıtım haklarını, bilişim veya iletişim ortamında görüntülenmesini, iletilmesini, okunmasını, izlenmesini, dinlenmesini vb. interaktif veya normal CD, VCD, DVD, GSM, MP3 Player vb. şekilde basılarak veya ses kayıtlarının metin haline getirilip kitap olarak piyasaya sunulmasını sağlayacak her türlü materyal üzerine kaydı ile çoğaltılması, kullanılması, işlenmesi, yeniden ve genişletilmiş şekilde sesli, yazılı ya da görüntülü yayın haklarını, bu suretle de çoğaltılarak kullanılması, dağıtılması, pazarlanması vb. fikri, mali ve manevi haklarımın tamamını, programda gerekli görülen değişiklikleri yapma haklarımı bila bedel olacak şekilde, AKRA.MEDİA sitesine ve bu site'nin yetkilisi ve sahiplerine devir ve temlik ettiğimi, beyan, kabul ve taahhüt ederim.

Şehir Seçin
Close